цикл Вебинаров сергея тихонова
цикл вебинаров сергея тихонова
цикл вебинаров
сергея тихонова
цикл вебинаров
сергея
тихонова
цикл вебинаров
сергея
тихонова
Лечение мезиального прикуса у детей
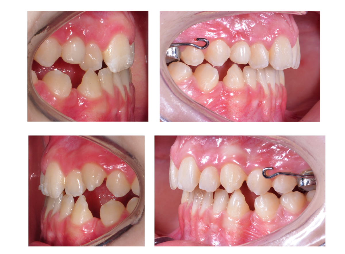
торк, средняя линия, эластики
Лечение мезиального прикуса у детей
Лечение мезиального прикуса у детей
Лечение мезиального прикуса у детей
1 вебинар
III класс + передний шифт нижней челюсти:
проще, чем кажется!
2 вебинар
Настоящий скелетный III класс: FR vs RPE + FM.
Аппарат Френкеля или лицевая маска?
3 вебинар
III класс у детей и подростков:
MARPE + FM. Простое лечение для получения максимального скелетного эффекта.
3 вебинар
ТЕМА ВЕБИНАРА 3 - III класс у детей и подростков: MARPE + FM.
Простое лечение для получения максимального скелетного эффекта.
ТЕМА ВЕБИНАРА 3 - III класс у детей и подростков: MARPE + FM.
Простое лечение для получения максимального скелетного эффекта.
ТЕМА ВЕБИНАРА 3 - III класс у детей и подростков: MARPE + FM.
Простое лечение для получения максимального скелетного эффекта.
Детально рассмотрим случай лечения пациента в 11 лет с применением небных минивинтов и лицевой маски.
Удивимся выраженности скелетного эффекта при наложении КЛКТ.
Проговорим протокол установки минивинтов, расширения и протракции верхней челюсти.
Детально рассмотрим случай лечения пациента в 11 лет с применением небных минивинтов и лицевой маски.
Удивимся выраженности скелетного эффекта при наложении КЛКТ.
Проговорим протокол установки минивинтов, расширения и протракции верхней челюсти.
Детально рассмотрим случай лечения пациента в 11 лет с применением небных минивинтов и лицевой маски.
Удивимся выраженности скелетного эффекта при наложении КЛКТ.
Проговорим протокол установки минивинтов, расширения и протракции верхней челюсти.
Результат:
Вы сможете получать больше скелетного эффекта при лечении 3 класса,
а не просто выводить зубы в протрузию!
Результат:
Вы сможете получать больше скелетного эффекта при лечении 3 класса,
а не просто выводить зубы в протрузию!
Результат:
Вы сможете получать больше скелетного эффекта при лечении 3 класса, а не просто выводить зубы в протрузию!
Доступ к записи на 10 дней
стоимость вебинара I - 2 400 рублей
ДОСТУП К ЗАПИСИ НА 10 ДНЕЙ
стоимость вебинара I - 2 400 рублей
ДОСТУП К ЗАПИСИ
НА 10 ДНЕЙ
стоимость вебинара I
2 400 рублей